.

Inhalation Anthrax

Normal Respiratory System v Anthrax-Affected System

What specifically does inhalation anthrax do to prevent the normal functioning of your respiratory system? What happens to it when it's introduced? All will be answered in this part of the website.

Image courtesy CDC

1) How does the respiratory system work normally?

The respiratory system, when working normally, is made up of several parts. First, you breathe in air from your nose. The nose works by capturing airborne molecules (molecules in the air) and sending signals to the brain's olfactory system, which interprets these signals as different smells (the olfactory system is the system used for smelling).  It also works to draw in air so you can breathe. This then travels down your trachea, a/k/a your windpipe.The trachea/windpipe serves as the main airway in the respiratory system, allowing air to pass from the throat into the lungs while also protecting the lungs by trapping foreign particles and facilitating the process of breathing. The windpipe then splits into small tubes called bronchi, which are airway passages in the respiratory system that branch off from the trachea and deliver air to the lungs, where they further divide into smaller bronchioles, enabling the exchange of oxygen and carbon dioxide in the alveoli.From here, air-filled sacs in the lungs called alveoli extract the oxygen from the air. They enable the exchange of oxygen and carbon dioxide from the blood. The oxygen is then used to oxygenate blood, and the blood is transported throughout the body, therefore making your cells work by supplying them with oxygen.

Sources: Respiratory system | healthdirect  Respiratory System: Functions, Facts, Organs & Anatomy (clevelandclinic.org)

Image Courtesy BasicPhysiology

2) How is the respiratory system is damaged by inhalation anthrax?

The respiratory system is damaged in multiple ways due to inhalationn anthrax. For one, after the bacterium bacillius anthracis is inhaled, it produces the bacterial lethal toxin (LeTx) a/k/a the anthrax toxin. This toxin production is what causes the symptoms consistent with inhalation anthrax. From here, one will develop several conditions:



HOW IT AFFECTS THE LUNGS:

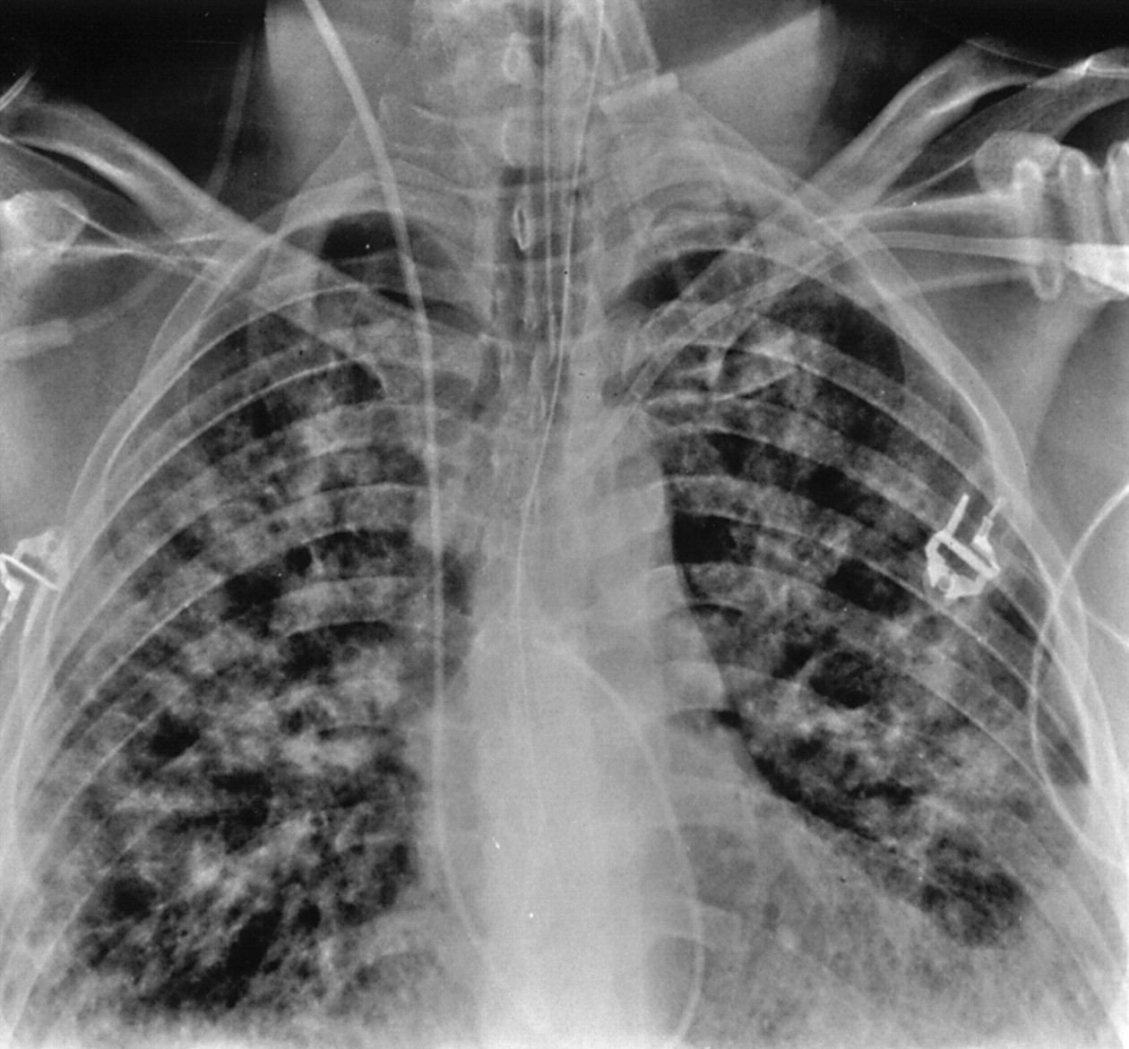
PULMONARY EDEMA

 One of the ways that this toxin causes damage to the lungs is through causing pulmonary edema. Pulmonary edema is a condition that causes fluid build-up in the lungs. This condition comes with several symptoms, including:

Chest pain
Coughing up frothy phlegm/mucus
Difficulty breathing                                                                                                    
Coughing up blood
Wheezing
Increased heart rate                                                                                                          Image
Anxiety                                                                                                                      Courtesy RSNA
Excessive sweating
Dizziness
Increased breathing rate






Some of the issues that is causes are things like difficulty breathing, swelling of the liver, and swelling of other parts of the body. Treatment is required quickly to prevent the condition from being deadly.

HEMORRHAGIC MEDIASTINITIS

Another condition that is developed due to anthrax is hemmorrhagic mediastinitis. H emmorrhagic mediastinitis, hereon referred to as HM, is a condition that is characterised by inflammation of the lungs. In the lungs, the spores of anthrax can spread into the lymph nodes of the lungs, which then can release the LeTx endotoxin, thereby causing HM. Once symptoms of HM appear in anthrax patients, it is sadly almost 100% fatal. HM also causes tissue necrosis. Tissue necrosis is a form of injury to tissue that causes its premature death. Signs of HM include:

Fever
Shortness of breath
Abrupt & severe chest pain

The issues that it causes are again shortness of breath and necrosis of tissue.



Now, onto the flow-on effects.





FLOW-ON EFFECTS:

These conditions do not only affect the respiratory system. They also have flow-on effects to the rest of the body. For the two conditions caused by inhlation anthrax that have been listed, I will also explain some of the flow-on effects you might experience.

FLOW-ON EFFECTS OF PULMONARY EDEMA:


Pulmonary edema has several flow-on effects to the rest of the body. Some of these include:

Impaired oxygen exchange: Pulmonary edema inhibits oxygen exchange because of its properties (filling up of fluid in the lungs).
As fluid fills up in the lungs, pressure increases, and some of the fluid ends up in the alveoli. The fluid reduces normal air movement in your lungs.. This causes impaired oxygen exchange and by extension shortness of breath. Impaired oxygen exchange causes flow-on effects by generally affecting everything in your body, because it's all getting less oxygen.

Cyanosis: Cyanosis is a condition characterised by a blue-ish tinge to one's skin. It is caused by a lack of oxygen in the body. Pulmonary edema causes cyanosis via its first flow-on effect, impaired oxygen exchange. As stated previously, the flow-on effect of impaired oxygen exchange affects all of the organs in your body, and that includes the skin.

Multiple organ dysfunction: Yet another flow-on effect of pulmonary edema, multiple organ dysfunction. As the name implies, multiple organ dysfunction is just that: Dysfunction of multiple organs in one's body. This is again caused by its impairment of oxygen exchange, causing several organs like the brain and kidneys to stop working as they should be due to oxygen deprivation.


Death: The most deadly flow-on effect. Death is indeed caused by the hypoxic (oxygen deprivation) effects of pulmonary edema in its final stages. If you can't breathe in, you'll die.

FLOW-ON EFFECTS OF HEMORRHAGIC MEDIASTINITIS:

Hemorrhagic mediastinits also has some flow-on effects in the human body. Some of these are:

Hemorrhage: As the name suggests, hemorrhage is indeed one of the flow-on effects of hemorrhagic mediastinitis, as it can affect multiple parts of one's body (because of internal hemorrhage occuring).

Disseminated Intravascular Coagulation (DIC): Another flow-on effect of hemhorrhagic mediastinitis is DIC. DIC is a condition where one's normal blood clotting mechanisms are disrupted, leading to excessive bleeding and clotting at the same time. Usually deadly without treatment.

Meningitis: While not directly caused by hemorrgagic mediastinitis, meningitis is one of the general flow-on effects of anthrax. Meningitis is characterized by an infection of the meninges. The meninges is the membrane surrounding the brain and spine. It is a medical emergency and can kill in a matter of hours.


                                Image
                           Courtesy
              Everyday Health

Sources

Sources: MayoClinic  CDC Yellow Book , Patophysiology of Pulmonary Edema , Healthline , Penn Medicine , Sepsis and pathophysiology of anthrax in a nonhuman primate model ,  Management of Anthrax Meningitis , Health Direct , Encyclopedia of molecular mechanisms of disease (pages 1756-78, available for free on annas-archive)